Terapia Combinada Doble y Triple
La medicina avanza, los tratamientos para ti tambien lo hacen, la correcta evaluacion y eleccion del tratamiento me permitira lograr el cambio que quieres y puedes tener


Terapia Combinada doble
USAR dos componentes me permite dar al blanco adecuado en ciertas lesiones CON una menor concentracion de fibrina, HACIENDO QUE penetren y asi dandote el cambio que buscas y quieres ver


Terapia Combinada triple
¿tu lesión tiene años? no te preocupes en tu caso y muchos parecidos elegiré la triple combinación, usar una molécula que degrade esa fibrina acumulada dejara que veas como cambia tu herida y la imagen que lograras
OBJETIVO DE LAS SESIONES
mi TERAPIA TE AYUDARA CON LOS OBJETIVOS QUE has estado buscando y para ellos te ofrecere:
LA CONCENTRACION EXACTA para tu herida
ATACAR LAS CELULAS DE FIBIRNA(EL PROBLEMA)
REDUCIR LA INFLAMACION POSTERIOR
QUE TUS RESULTADOS SE VEAN MEJOR Y SEAN LO QUE ESPERABAS


mi objetivo es encontrar lo que tu necesitas, la combinación que te permitirá dejar atrás esa herida y podrás ver lo que era y lo que será, en nuestra primera cita hablaremos de como serán tus sesiones y cuantas necesitas para este cambio
EL PORQUE ES MAS EFECTIVA


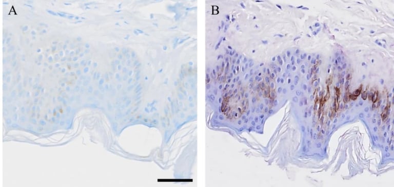
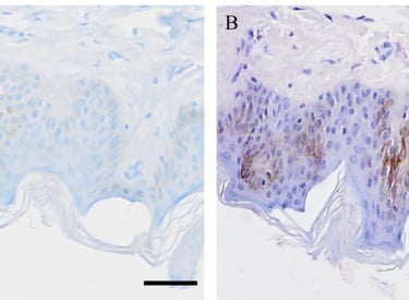
puedes ver en estas tomas celulares el cambio y el daño que puede haber en tu lesion y es justo ahi donde ira mi terapia y justo ahí donde se lograra el cambio


EL ERROR DE OTROS
1 - Elegir la sustancia equivocada
Muchos eligen usar el incorrecto según el tipo de lesión por eso la importancia de valorarte y hablar de cual cambiara tu herida
2 - La concentración equivocada
Usar el volumen adecuado y la concentración que pide tu herida me permitirá lograr cambiarla durante las sesiones y cuando veas ese cambio entenderás la importancia de la eleccion
3 - No usar sesiones definidas
Tener tu avance de la mano con sesiones preestablecidas y definidas nos permitirá un control de tu herida y te permitirá tener los detalles de tu tratamiento
4 - Complemento de tu tratamiento
Un error comun es la falta de tratamiento complementario a las sesiones, una correcta guia y uso de complementos en tu lesion acelera el cambio y permite actuar a la terapia

